background

Indications Page

Explore medicines based on medical conditions and indications. Whether you're looking for treatments for allergies, infections, chronic diseases, or pain management, our database categorizes medicines by their therapeutic use to simplify your search.

  • Brows by Condition

  • Treatment Options

  • Disease Guide

  • Medication Uses

The Best Medical And General Practice Care!

Providing Medical Care For The Sickest In Our Community.

Lyme disease Image

Lyme disease

Lyme disease is a tick-borne illness caused by the bacterium *Borrelia burgdorferi* and, less commonly, *Borrelia mayonii*. It is transmitted to humans through the bite of inf...

Read More
Bacterial Conjunctivitis Image

Bacterial Conjunctivitis

Bacterial conjunctivitis is an infection of the conjunctiva, the thin membrane that covers the white part of the eye and the inner surface of the eyelids. It is caused by vari...

Read More
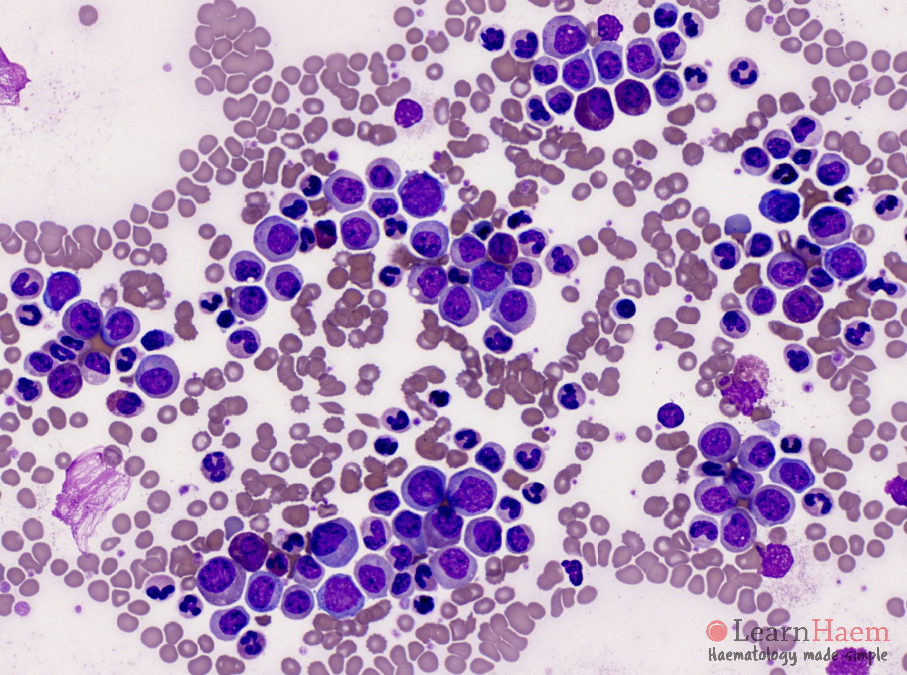
Chronic myeloid leukaemia Image

Chronic myeloid leukaemia

Chronic myelogenous leukemia (CML) is a rare type of cancer that affects the bone marrow and blood. It is a slowly progressing form of leukemia characterized by the overproduc...

Read More
Dental abscess Image

Dental abscess

A dental abscess is a localized collection of pus caused by a bacterial infection within the teeth, gums, or surrounding bone. It typically results from untreated dental cavit...

Read More
Bacterial meningitis Image

Bacterial meningitis

Bacterial meningitis is a severe infection of the meninges, the protective membranes covering the brain and spinal cord. It is caused by various bacteria, including *Streptoco...

Read More
Cutaneous candidiasis Image

Cutaneous candidiasis

Cutaneous candidiasis is a fungal infection of the skin caused by Candida species, most commonly Candida albicans. This condition occurs when the yeast, which is normally pres...

Read More
Keratosis pilaris Image

Keratosis pilaris

Keratosis pilaris (KP), often referred to as "chicken skin," is a common, benign skin condition that leads to the appearance of small, rough bumps on the skin. These bumps are...

Read More
Acute sore throat Image

Acute sore throat

An acute sore throat, also known as pharyngitis, is a sudden onset of pain, scratchiness, or irritation in the throat, often worsened by swallowing. It is a common condition a...

Read More
Infertility Image

Infertility

Infertility is defined as the inability to conceive after one year of regular, unprotected intercourse (or six months for women over 35). It affects approximately 10-15% of co...

Read More